Москва, м. Римская/м. Площадь Ильича, Бульвар Энтузиастов, д. 2, БЦ Golden Gate
Звоните с 9:00 до 21:00
+7 499 647 72 22
Цифровая стоматология. Делаем мечту о красивой и здоровой улыбке реальностью
Фото ДО и ПОСЛЕ лечения
Посмотрите, как изменились наши пациенты после восстановления всех зубов на имплантах. Несъемные протезы высокого качества – они не выпадают и не натирают.
Make great presentations, longreads, and landing pages, as well as photo stories, blogs, lookbooks, and all other kinds of content oriented projects.
Content Oriented Web
Make great presentations, longreads, and landing pages, as well as photo stories, blogs, lookbooks, and all other kinds of content oriented projects.
Content Oriented Web
Make great presentations, longreads, and landing pages, as well as photo stories, blogs, lookbooks, and all other kinds of content oriented projects.
1. Диагностика Пациент долгое время имел проблемы с зубами, такие как подвижность, множественный периодонтит. Алексей Дмитриевич проживал в небольшом городе. Стоматологи не имели должных навыков и предлагали поставить имплантат лишь через 2 месяца с костной пластикой и синус-лифтингами. По результатам осмотра и оценки клинической ситуации было принято решение выполнять протезирование по методике All-on-4. Передовая швейцарская технология All-on-4 позволяет воссоздать функциональный и эстетический зубной ряд за один день. Помимо многочисленных существенных преимуществ, ее стоимость меньше процедуры установки одного имплантата.
2. Процесс При первом посещении была проведена комплексная диагностика пациента, в которую входит: КТ, цифровое сканирование, виртуальная моделировка будущих зубов и улыбки, диагностика функциональных аспектов зубочелюстной систем, планирование навигационных хирургических шаблонов. Следующим этапом было удаление зубов, установка имплантатов в концепции All-on-4 по системе NEOBIOTECH, снятие оттисков и примерка цифрового макета (прототип будущих зубов и улыбки). Завершающей стадией лечения была проведена примерка протеза и его установка. На этапе адаптации он мог в любой день обратиться в клинику за консультацией.
3. Результат Цель лечения полностью достигнута благодаря передовой швейцарской технологии All-on-4 . Жевательная функция и эстетика полностью восстановлены! Дискомфорт и стеснение остались в прошлом. Алексей Дмитриевич рассказал, что чувствует себя просто отлично. Он стал больше улыбаться и радоваться своей новой улыбке.
4. Лечащие врачи: Аракелян Альберт Оганесович (стоматолог-ортопед) Хачатрян Артур Мамиконович (стоматолог-хирург) Время лечения: от момента обращения до установки протезов 10 дней.
Как проходило лечение?
1. Диагностика Мария Ивановна 10 лет назад проходила лечение, по итогу которого ей установили металлокерамические коронки. Пациентка стала бабушкой и времени заниматься своим здоровьем совсем не было. Зубы стали разрушаться, Мария Ивановна занялась самостоятельным лечением в других клиниках, просто удаляя больные зубы. Мария Ивановна всерьез задумалась о здоровой улыбке и обратилась в «Стоматологию на 22 этаже». По результатам осмотра и оценки клинической ситуации было принято решение выполнять протезирование по методике All-on-4. Передовая швейцарская технология All-on-4 позволяет воссоздать функциональный и эстетический зубной ряд за один день.
2. Процесс При первом посещении была проведена комплексная диагностика пациента, в которую входит: КТ, цифровое сканирование, виртуальная моделировка будущих зубов и улыбки, диагностика функциональных аспектов зубочелюстной систем, планирование навигационных хирургических шаблонов. Следующим этапом было удаление зубов, установка имплантата в концепции All-on-4 по системе NEODENT, снятие оттисков и примерка цифрового макета (прототип будущих зубов и улыбки). На этапе адаптации она могла в любой день обратиться в клинику за консультацией.
3. Результат Цель лечения полностью достигнута благодаря передовой швейцарской технологии All-on-4. Жевательная функция и эстетика полностью восстановлены! Дискомфорт и стеснение остались в прошлом. Мария Ивановна поделилась радостными фотографиями из путешествия, на которых ее улыбка сияла.
4. Лечащие врачи: Аракелян Альберт Оганесович (стоматолог-ортопед) Хачатрян Артур Мамиконович (стоматолог-хирург) Время лечения: от момента обращения до установки протезов 10 дней.
Как проходило лечение?
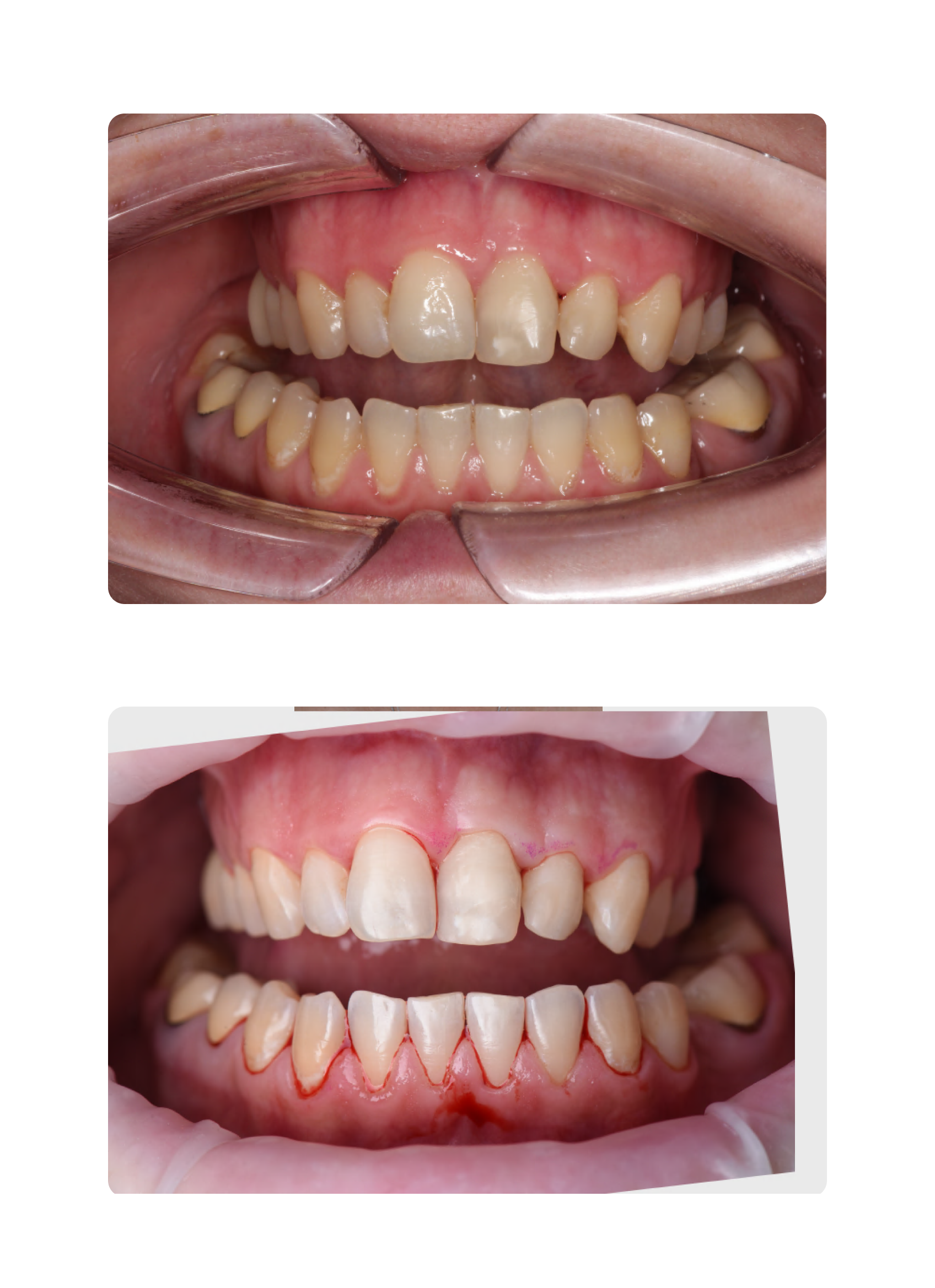
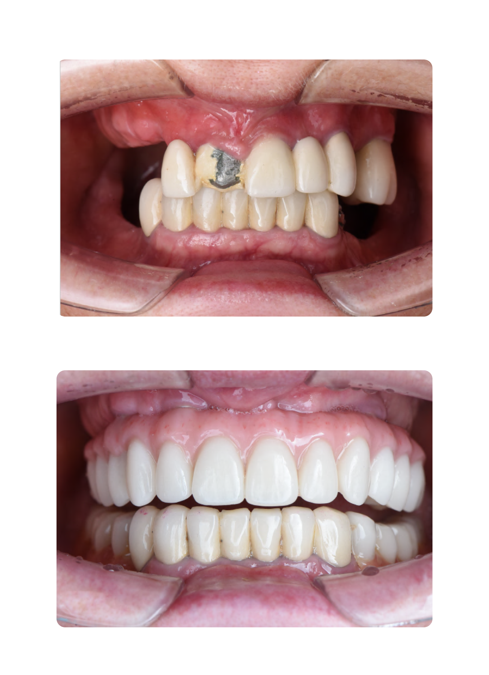
1. Диагностика Ксения Борисовна обратилась к нам после травмы полученной в Турции во время путешествия. Ксения получила сколы передних зубов во время падения с банана. Стоматологические клиники другой страны установили пациентке шарниры, тем самым просто зафиксировав зубы. Уже в Москве девушка неоднократно обращалась в клиники за помощью, но так как зубы срослись неправильно и шатались, то стоматологи отказывались провести имплантацию из-за сложности клинического случая. По результатам осмотра и оценки клинической ситуации было принято решение восстановить зубы керамическими реставрациями.
2. Процесс При первом посещении была проведена комплексная диагностика пациента, в которую входит: КТ, цифровое сканирование, виртуальная моделировка будущих зубов и улыбки, диагностика функциональных аспектов зубочелюстной систем. Следующим этапом был Wax Up — это по сути моделирование будущей улыбки человека из специального воска. Она дает возможность заранее увидеть новый размер и форму зубов, понять, как изменится их внешний вид после установки коронок и не только. Если какие-то нюансы не нравятся, их можно изменить, скорректировать до начала всего процесса лечения. На этапе адаптации Ксения могла в любой день обратиться в клинику за консультацией.
3. Результат Цель лечения полностью достигнута благодаря работе высококвалифицированных специалистов клиники! Дискомфорт и стеснение остались в прошлом.
Москва, Таганский район ЦАО, Бульвар Энтузиастов, д. 2, БЦ Golden Gate
Имплантация зубов
Все зубы за 1 день
Протезирование
Зубные протезы
Коронка на зуб
Диагностика
Виниры
Брекеты
Лечение зубов
Отбеливание зубов
Реставрация зубов
Лечение десен
О стоматологии
Врачи
Отзывы
Акции
До и после
Статьи
Мы собираем обезличенные метаданные пользователя (cookie, данные об IP-адресе и местоположении) для нормального функционирования сайта. Политика конфиденциальности
OK
Лицензия Л041-01137-77/00625886 от 17 ноября 2022 г ООО "Стоматология на 22 этаже", ОГРН 1227700301322